手首

Medical

手首|横浜市都筑区の整形外科 - 医療法人社団 颯和会【笠井整形外科】

TFCC損傷

手関節の解剖

手関節は橈骨、尺骨、および8個の手根骨から成ります。

遠位橈尺関節(DRUJ)

橈骨と尺骨の遠位部の関節は遠位橈尺関節(DRUJ)と言います。
DRUJ、尺骨遠位、手根骨をつなぐ支持組織は三角線維軟骨複合体(TFCC)と言います。

三角線維軟骨複合体(TFCC)

TFCC損傷の病態

TFCCは外傷および加齢変性により損傷します。
尺骨が相対的に橈骨よりも長い(plus variance)状態である尺骨突き上げ、症候群に合併することもあります。

TFCC損傷の病態

TFCC損傷の症状

  • 手関節尺側部痛
  • 回内回外可動域制限
  • 遠位橈尺関節(DRUJ)不安定性

が三徴です。具体的にはタオル絞りやドアノブ回しが困難になったり、動作時に手が抜ける感じ(slack)が出現します。

徒手検査

  • 尺骨遠位の圧痛
  • 他動的に手関節尺屈して痛みを誘発させる
  • 橈骨と尺骨を把持し掌背側に揺り動かして不安定性をみる(ballotment test)
  • 回内位で尺骨頭を押して亜脱臼を確認する(piano-key sign)などがあります。

画像検査

  • 単純X線でplus variance

  • 単純X線でDRUJの開大

    単純X線でDRUJの開大

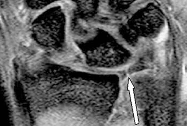
  • MRIでTFCC損傷所見

    MRIでTFCC損傷所見

などがあります。

治療法

TFCC損傷の治療には、まずは保存療法を施工します。
急性期の痛みにはRICE処置や消炎鎮痛剤を使用します。
リストケアプロというサポーターは非常に有効です。金具の有無で、手関節固定としても運動時サポーターとしても使用できます。

固定時

運動時

固定金具

理学療法では手関節可動域拡大訓練や、筋力増強訓練を行います。遠位橈尺関節不安定性に注意しながら訓練を行います。

3ヶ月間の保存療法で改善しない場合には手術療法を検討します。

手術療法

まずは手関節鏡視下にTFCCを観察します。
TFCC損傷の状況、尺骨variance、DRUJ不安定性などから手術方法を決定します。

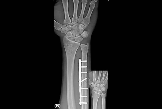
尺骨短縮術

plus varianceでDRUJ不安定性がない症例に行います。

尺骨短縮術

TFCC部分切除術

neutralおよびminus variancで、DRUJ不安定性がない症例に適応がある手術法です。

TFCC部分切除術

TFCC縫合術

DRUJ不安定性高度のTFCC損傷は尺骨遠位に縫合する手術法があります。

TFCC再建術

陳旧例では他部位の腱を利用する手術法がありす。

(TFCC損傷のポイント)

  • 手関節尺側部の痛みの原因の一つにTFCC損傷があります。
  • TFCC損傷には尺骨突き上げ症候群や、遠位橈尺関節不安定性が合併することがあります。
  • 治療法は保存療法から始まり、無効例には病態に応じた手術方法を選択します。
pagetop