足首

Medical

足首|横浜市都筑区の整形外科 - 医療法人社団 颯和会【笠井整形外科】

足関節捻挫

外力が加わり、関節包や靭帯が損傷することを捻挫と言います。骨折や脱臼を伴わないものです。

解剖

足関節には内側の三角靱帯と、外側の前距腓靱帯・踵腓靱帯があります。
足関節内がえしで受傷する外側靱帯損傷が全体の90%を占めます。

足関節

症状

  • 足関節の腫れ
  • 足関節の痛み(損傷靱帯を押すと痛みが増します)
  • 時に足関節の不安定感

診断

  • 問診によって捻った方向を確認します

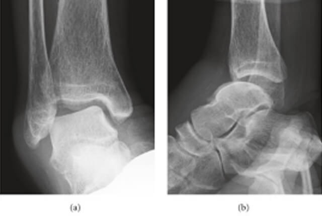
  • ストレスX線撮影(前方引き出し・内反ストレス)で不安定性を確認します

    ストレスX線撮影

  • エコーで靱帯の連続性や不安定性を確認します

    エコー

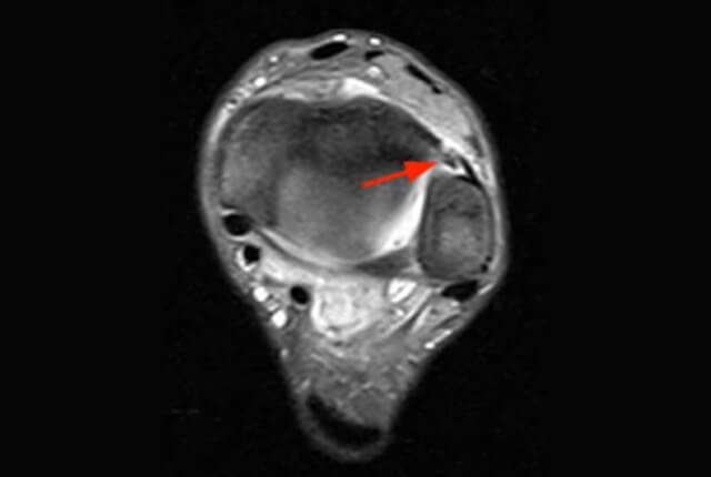
  • MRIで靱帯損傷の部位と程度を確認します

    MRI

治療

「急性期:受傷直後より3日」

RICE処置
  • Rest安静
  • Icing冷却=15分間の冷却と休憩を繰り返す
  • Compression圧迫=腫脹部位にU字スポンジパッドを当て、アンダーラップによる固定をする

Elevation挙上Elevation挙上

「不安定性の評価」

エコーもしくはストレスX線撮影で緩みの評価をします。

靭帯損傷の程度による分類
  • 1度:ほとんど緩みがない微小靭帯損傷
  • 2度:若干の緩みがある靭帯部分断裂
  • 3度:高度な緩みのある靭帯完全断裂

軽度の緩みにはテーピングや包帯固定、高度の緩みにはシーネ固定を行います。6週間シーネ固定後も高度緩みがある例は手術療法になることがあります。

「亜急性期以降:受傷後3日〜」

腫脹と安静時痛が軽減したところで運動療法を開始します。

  • 関節可動域拡大訓練:しっかりと背屈ができるように
  • 下肢の筋力増強訓練:内がえしに対抗する腓骨筋強化、つま先立ち訓練
  • 神経・筋協調運動:不安定な場所でバランス訓練

十分な背屈と片脚ジャンプが可能になるとスポーツ復帰となります。しばらくはテーピングや装具を装着することをおすすめします。

Elevation挙上足首サポーター

さいごに

  • 緩みの評価をしないで早過ぎるスポーツ復帰は、捻挫を繰り返したり慢性的な痛みが続くことがあり危険です。
  • 適切な固定期間、運動療法を経て、無理なくスポーツ復帰することをおすすめします。
pagetop